Information reviewed by: Dr Tay Chih Kien, B.D.S (Singapore) | Last updated: Apr 09, 2026 Last updated: Apr 09, 2026

What Are Supernumerary Teeth?

Supernumerary teeth are extra teeth that develop beyond the normal number of teeth a person has: 20 primary teeth in children and 32 permanent teeth in adults. This condition, also known as hyperdontia, refers to the development of one or more extra teeth that may either erupt into the mouth or remain embedded within the jawbone.

Supernumerary teeth can appear in any area of the dental arch, though they occur most frequently in the upper jaw, particularly near the front teeth. They may resemble normal teeth in shape and size, or they may be smaller, peg-shaped, or irregularly formed.

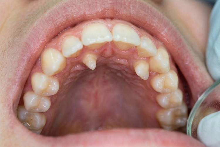
Intraoral view showing mesiodens supernumerary teeth behind the front teeth.

Supernumerary teeth occur more frequently in males than in females. While a single supernumerary tooth is most common, some individuals may develop two or more extra teeth.


What Causes Supernumerary Teeth?

The exact cause of supernumerary teeth is not fully understood, though several theories have been proposed. Factors that may contribute include:

  • Hyperactivity of the dental lamina – Excessive activity in the dental lamina, the tissue layer responsible for initiating tooth development, can lead to the formation of additional tooth buds during early growth.
  • Genetics – Supernumerary teeth can run in families, suggesting a hereditary component. Individuals with a family history of extra teeth are more likely to develop them.
  • Associated conditions – Certain developmental conditions are linked to a higher occurrence of hyperdontia. These include cleft lip and palate, cleidocranial dysplasia (a condition affecting bone development), and Gardner syndrome.

In many cases, supernumerary teeth occur on their own without any associated syndrome or identifiable cause.


Types of Supernumerary Teeth

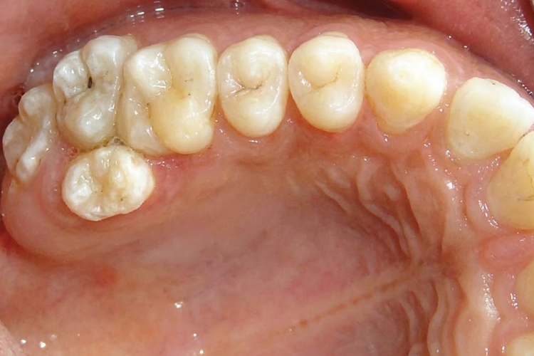
Intraoral photograph showing the upper dental arch with an extra molar.
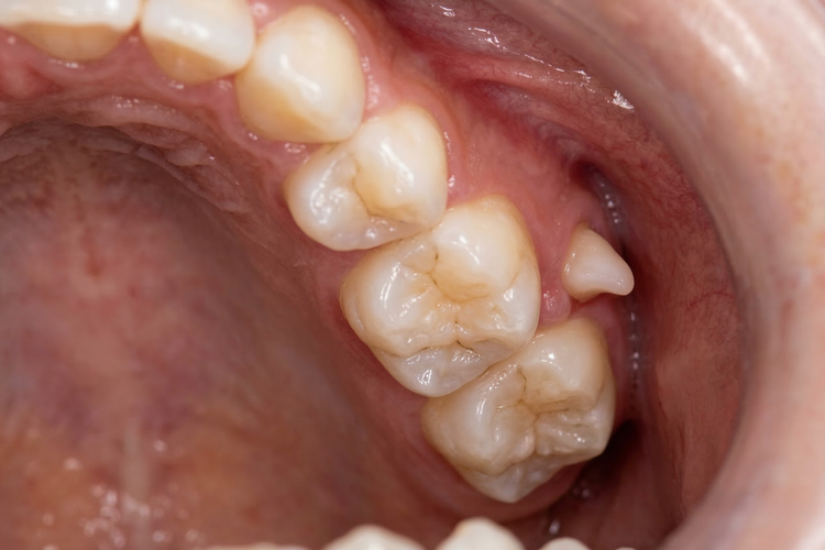
Intraoral view showing a paramolar supernumerary tooth beside the molars.

Supernumerary teeth are classified by their shape and location within the dental arch. Understanding the type helps determine whether treatment is needed and what approach may be most appropriate.

Type of Supernumerary Tooth Description
Classification by Shape
Conical (peg-shaped) Small, peg-shaped teeth that represent the most common form. Typically develop near the upper front teeth and may contribute to spacing or alignment issues.
Supplemental Extra teeth that closely resemble normal teeth in the same region. Commonly appear as additional lateral incisors (the teeth next to the two upper front teeth) or premolars.
Tuberculate Larger, barrel-shaped teeth with multiple cusps (raised points on the chewing surface). Often remain unerupted and may delay or block nearby permanent teeth from emerging.
Odontoma A benign mass of disorganised dental tissue rather than a fully formed tooth. May obstruct the eruption path of developing teeth.
Classification by Location
Mesiodens Develops between the two upper central incisors (the two front teeth). May cause spacing, rotation, or delayed eruption of permanent front teeth.
Distomolar Develops behind the third molars (wisdom teeth) at the very back of the dental arch. Sometimes referred to as a fourth molar.
Paramolar Develops beside or between the molars at the back of the mouth, usually on the cheek-facing side of the molar teeth.

Supernumerary Teeth in Children vs Adults

Supernumerary teeth are more commonly detected in children, often during mixed dentition (the stage when both primary and permanent teeth are present). The table below outlines the key differences between children and adults.

Category Children Adults
Detection Often identified when permanent teeth fail to erupt on time or during routine dental X-rays Often discovered incidentally on X-rays or when investigating unexplained crowding
Most common type Mesiodens (between the upper front teeth) Supplemental premolars or distomolars
Treatment timing Usually addressed once permanent teeth are developing, typically between ages 6 and 12 Addressed when symptoms occur or when detected during treatment planning
Key considerations Timing of removal must account for developing tooth roots and jaw growth Removal may be straightforward if the tooth has erupted, or may require surgical extraction if impacted
Concerned about delayed tooth eruption or extra teeth in your child? Book a consultation with our friendly kids dentists at True Dental Studio for an assessment.
WhatsApp Us Now

Problems Caused by Supernumerary Teeth

Not all supernumerary teeth cause problems. When complications occur, they usually affect nearby teeth and supporting structures. The severity often depends on the extra tooth's position, size, and whether it has erupted or remains impacted in the bone.

Common issues include:

  • Delayed or blocked eruption – An extra tooth can obstruct a permanent tooth from erupting into its proper position. This commonly occurs when a mesiodens blocks the upper central incisors.
  • Crowding and misalignment – Extra teeth compete for space in the dental arch, which can push neighbouring teeth out of alignment and affect the bite.
  • Diastema (gap between teeth) – A mesiodens between the upper front teeth may prevent them from closing together, creating a visible gap.
  • Root resorption – Pressure from a supernumerary tooth may gradually break down the root of a neighbouring tooth.
  • Cyst formation – An unerupted supernumerary tooth may develop a cyst (a fluid-filled sac) that can enlarge and affect surrounding bone and teeth.
  • Interference with orthodontic treatment – Undetected extra teeth can interfere with tooth movement during orthodontic treatment with braces or clear aligners.

How Are Supernumerary Teeth Diagnosed?

Most supernumerary teeth are discovered through dental X-rays, often during routine check-ups or when investigating delayed tooth eruption, crowding, or unusual spacing.

Many supernumerary teeth remain hidden beneath the gum and are not visible on a standard oral examination alone.

Dental X-ray showing a supernumerary tooth between the upper front teeth.

Dentists may suspect a supernumerary tooth when:

  • A permanent tooth fails to erupt on schedule
  • Crowding or misalignment develops without a clear cause
  • An unusual lump or swelling appears in the gum
  • A child or adult presents with more teeth than expected for their age

A panoramic X-ray (OPG) provides a broad view of both jaws and is commonly used to identify extra teeth, their position, and their relationship to surrounding structures.

In some cases, a cone-beam computed tomography (CBCT) scan may be recommended for a more detailed three-dimensional view, particularly when the extra tooth is close to nerves, nasal passages, or the roots of neighbouring teeth.

Concerned about extra teeth or delayed eruption? Book a consultation at True Dental Studio for a thorough examination and personalised guidance.
WhatsApp Us Now

When Should Supernumerary Teeth Be Removed?

Removal of a supernumerary tooth is generally recommended when it causes or is likely to cause complications. The decision depends on factors such as the tooth's position, whether it has erupted, and whether it affects neighbouring teeth or normal dental development.

Extraction is typically advised when the extra tooth:

  • Delays or prevents the eruption of a permanent tooth
  • Causes crowding, spacing problems, or bite issues
  • Is associated with cyst formation or root resorption of adjacent teeth
  • Interferes with planned orthodontic treatment
  • Causes discomfort or recurrent infection

In certain situations, your dentist may recommend monitoring rather than immediate removal. This is more common when the supernumerary tooth is deeply embedded, not causing symptoms, and poses a low risk of complications. Regular X-rays help track any changes over time.

Dentist examining a male patient’s teeth during a routine dental check-up.

For children, the timing of removal is an important consideration. Removing the extra tooth too early may risk damaging developing permanent teeth, while delaying treatment may allow complications to develop.


How Are Supernumerary Teeth Removed?

Supernumerary teeth are usually removed through a simple dental extraction or a minor surgical procedure, depending on their location.

If the extra tooth has fully erupted, it can usually be removed with a simple extraction under local anaesthesia. If the tooth remains impacted in the gum or jawbone, a minor surgical procedure may be needed to access and remove it, sometimes involving a small incision in the gum and limited removal of surrounding bone.

Recovery is generally similar to that of a standard tooth extraction, with the gum tissue typically healing within one to two weeks. In more complex cases, such as when the extra tooth is close to the roots of permanent teeth or other nearby structures, the procedure may be performed by an oral and maxillofacial surgeon.


Can Supernumerary Teeth Be Prevented?

There is currently no known way to prevent supernumerary teeth, as the condition is largely determined by genetic and developmental factors that occur during early tooth formation. However, early detection through regular dental check-ups and timely X-rays can identify extra teeth before they cause problems.

If you have a family history of supernumerary teeth or conditions associated with them, informing your dentist can help guide monitoring and ensure any extra teeth are identified early.

Dr Tay Chih Kien, Principal Dentist at True Dental Studio.

Supernumerary teeth are more common than many people realise, and most can be managed with straightforward treatment once identified, helping to prevent complications.

— Dr Tay Chih Kien


Cost of Tooth Extraction in Singapore

At True Dental Studio, we provide assessment and treatment for supernumerary teeth (hyperdontia), with the prices as follows:

Treatment Price*
Consultation $27.25 to $65.40
Second Opinion Consultation $27.25 to $65.40
X-ray
Orthopantomogram (OPG) / Lateral Cephalogram $109
3D Cone Beam CT (Sectional) $141.70
3D Cone Beam CT $327
Extraction
Milk Tooth Extraction $49.05 to $98.10
Adult Tooth Extraction $98.10 to $272.50

*Prices are NETT and inclusive of GST.


Book a Consultation for Supernumerary Teeth

Woman feeling toothache in right jaw area.

Over 30% of adults feel anxious about dental visits.

Dental visits can indeed be stressful, but at True Dental Studio, we are gentle and patient, committed to helping you feel at ease during your visit.

Dr Tay Chih Kien of True Dental Studio.

Dr Tay Chih Kien

Why Choose True Dental Studio?

Our Smile Scorecard

25000
25
78000

Frequently Asked Questions

Supernumerary is pronounced soo-per-NOO-muh-rair-ee. The word comes from Latin and means "beyond the usual number." In dentistry, it refers to extra teeth that develop in addition to the normal number of teeth in the mouth.

Supernumerary teeth do not always need to be removed. Extraction is usually recommended when the extra tooth causes problems such as delayed eruption, crowding, bite issues, cyst formation, or interference with orthodontic treatment. If the tooth is not causing symptoms and is unlikely to affect surrounding teeth, a dentist may recommend monitoring it with periodic examinations and X-rays.

Supernumerary teeth removal is generally performed under local anaesthesia, which numbs the area and reduces discomfort during the procedure. Some people may experience mild soreness, swelling, or tenderness after the extraction, particularly if a minor surgical procedure is required. These symptoms are usually temporary and can often be managed with appropriate aftercare and pain relief recommended by your dentist or oral surgeon.

Supernumerary teeth do not typically grow back after removal because teeth do not regenerate once fully formed. However, in rare cases, additional unerupted supernumerary teeth may already be present in the jaw and only become visible later on dental X-rays. Regular dental examinations help identify any additional teeth early.

Supernumerary teeth usually form during early tooth development, often before birth when tooth buds begin developing in the jaw. They occur when additional tooth buds develop or when the dental lamina, the tissue responsible for initiating tooth formation, becomes overactive. Although they form early, they may only be detected later through dental X-rays.

Supernumerary teeth are considered relatively uncommon but not extremely rare. Many people with hyperdontia develop only a single extra tooth, and some cases remain undetected because the tooth stays embedded in the jaw and causes no symptoms. As a result, supernumerary teeth are sometimes discovered incidentally during routine dental X-rays rather than through visible signs.

Treatment for supernumerary teeth depends on their position, type, and whether they cause complications. If the extra tooth affects eruption, alignment, or oral health, a dentist may recommend removal through a simple extraction or minor surgical procedure. In some cases, orthodontic treatment such as braces may be used after removal to guide neighbouring teeth into proper alignment.

Supernumerary teeth are not always painful. Many remain embedded in the jaw and cause no symptoms. Pain or discomfort may occur if the extra tooth causes crowding, pressure on neighbouring teeth, infection, or cyst formation. If you experience persistent pain, swelling, or unusual changes in your teeth or gums, it is advisable to consult your dentist for evaluation.

Braces cannot remove supernumerary teeth, but they may help correct alignment problems caused by them. In many cases, the extra tooth is removed first, and orthodontic treatment is then used to move the surrounding teeth into their proper positions. The exact approach depends on the tooth's location and its effect on the bite.

Supernumerary teeth can sometimes affect nearby teeth and surrounding structures. They may block the eruption of permanent teeth, cause crowding or spacing problems, or place pressure on adjacent tooth roots. In some cases, they may also be associated with cyst formation or root resorption. Early detection allows your dentist to monitor or treat the condition before complications develop.

Supernumerary teeth are often identified through dental X-rays rather than visible signs. Possible indicators include delayed eruption of permanent teeth, unexplained crowding, gaps between teeth, or swelling in the gum. If you suspect an extra tooth or notice unusual changes in your dental development, it is advisable to consult your dentist for examination and imaging.

Supernumerary teeth do not usually fall out on their own, especially if they are permanent teeth or remain impacted in the jaw. If the extra tooth has erupted and is a primary tooth, it may loosen naturally like other baby teeth, but many supernumerary teeth remain in place unless removed by a dentist. Monitoring with dental examinations helps determine whether treatment is needed.

Hyperdontia does not go away on its own because extra teeth do not disappear once they form. The condition results from additional tooth development during early growth. Some supernumerary teeth may remain embedded in the jaw and cause no symptoms, while others may require monitoring or removal if they affect eruption, alignment, or surrounding structures.

Hyperdontia is not inherently harmful, but it can lead to dental complications depending on the position and number of extra teeth. Some people experience no symptoms, while others may develop crowding, delayed tooth eruption, or bite problems. Your dentist can assess whether the extra tooth requires monitoring or treatment based on its impact on oral health.

Hyperdontia can contribute to bad breath in certain situations. Extra teeth may create crowded areas that are harder to clean, allowing food debris and bacteria to accumulate and produce odour. However, bad breath can also result from other oral or medical conditions. If persistent bad breath occurs, it is advisable to consult your dentist to determine the underlying cause.

Extra teeth in children are relatively uncommon but not rare. Many cases are identified during childhood when permanent teeth begin erupting or when a permanent tooth fails to appear as expected. In children, the most common type is a mesiodens, which develops between the two upper front teeth and may affect the normal eruption of nearby teeth.